Mass General Brigham’s HPV-DeepSeek test achieves much earlier blood-based cancer detection, opening new path for…
DISEASES
Research Highlights: An analysis of 25 years of the CDC WONDER database for death rates…
Like bees breathing life into gardens, providing pollen and making flowers blossom, little cellular machines…
Many modern cancer treatments are highly effective at reducing or eliminating tumors, but they can…
In a groundbreaking study, research scientists from the Indiana University School of Medicine and Regenstrief…
Dynamic modeling can simulate the spread of germs from an infected person’s movements Concordia researchers…
Vocal fold lesions and early stages of laryngeal cancer alter acoustics of the voice, paving…
A new study by Sony Tuteja, Pharm.D., finds that preemptive genetic testing for those with…
NCSA resources assist a researcher from Ohio State University in studying atrial fibrillation in order…
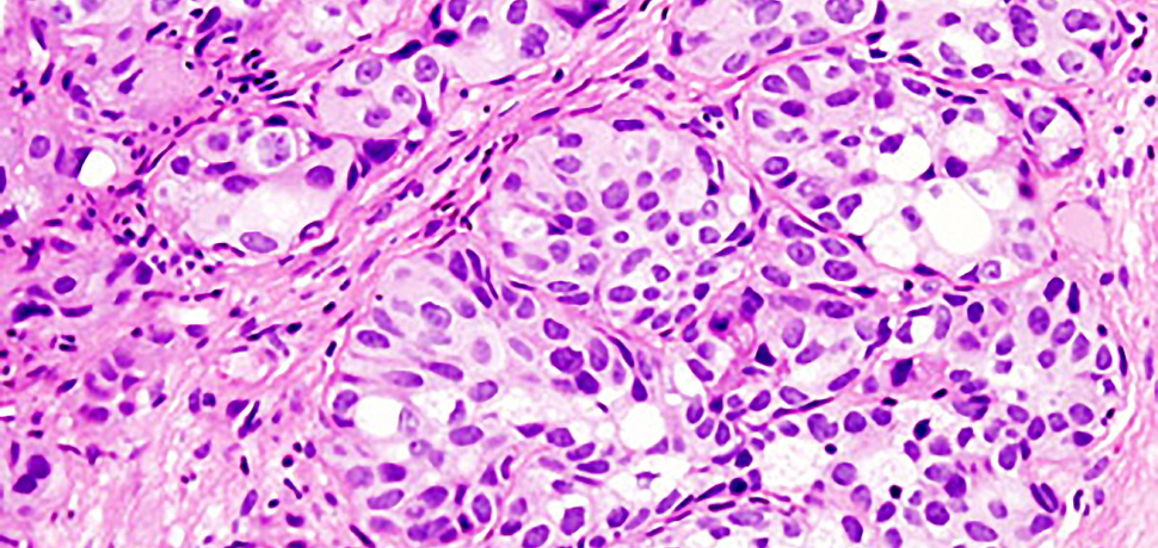
About one quarter of patients with muscle-invasive bladder cancer (MIBC) may be treated and derive…








