The brain floats in a sea of fluid that cushions it against injury, supplies it with nutrients and carries away waste. Disruptions to the normal ebb and flow of the fluid have been linked to neurological conditions including Alzheimer’s disease and hydrocephalus, a disorder involving excess fluid around the brain.
Researchers at Washington University School of Medicine in St. Louis created a new technique for tracking circulation patterns of fluid through the brain and discovered, in rodents, that it flows to areas critical for normal brain development and function. Further, the scientists found that circulation appears abnormal in young rats with hydrocephalus, a condition associated with cognitive deficits in children.
The findings, available online in Nature Communications, suggest that the fluid that bathes the brain — known as cerebrospinal fluid — may play an underrecognized role in normal brain development and neurodevelopmental disorders.
“Disordered cerebrospinal fluid dynamics could be responsible for the changes in brain development we see in children with hydrocephalus and other developmental brain disorders,” said senior author Jennifer Strahle, MD, an associate professor of neurosurgery, of pediatrics, and of orthopedic surgery. As a pediatric neurosurgeon, Strahle treats children with hydrocephalus at St. Louis Children’s Hospital. “There’s a whole host of neurologic disorders in young children, including hydrocephalus, that are associated with developmental delays. For many of these conditions we do not know the underlying cause for the developmental delays. It is possible that in some of these cases there may be altered function of the brain regions through which cerebrospinal fluid is circulating.”
Much research has been conducted mapping the drainage of cerebrospinal fluid in the brains of adults. However, it is not well known how cerebrospinal fluid interacts with the brain itself. Cerebrospinal fluid pathways in the brain likely vary with age, as young children have not yet developed the mature drainage pathways of adults.
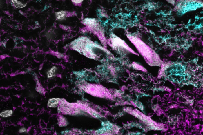
Strahle; first author Shelei Pan, an undergraduate student; and colleagues developed an X-ray imaging technique using gold nanoparticles that allowed them to visualize brain circulation patterns in microscopic detail. Using this method on young mice and rats, they showed that cerebrospinal fluid enters the brain through small channels primarily at the base of the brain, a route that has not been seen in adults. In addition, they found that cerebrospinal fluid flows to specific functional areas of the brain.
“These functional areas contain specific collections of cells, many of which are neurons, and they are associated with major anatomic structures in the brain that are still developing,” Strahle said. “Our next steps are to understand why cerebrospinal fluid is flowing to these neurons specifically and what molecules are being carried in the cerebrospinal fluid to those areas. There are growth factors within the cerebrospinal fluid that may be interacting with these specific neuronal populations to mediate development, and the interruption of those interactions could result in different disease pathways.”
Further experiments showed that hydrocephalus reduces cerebrospinal fluid flow to distinct neuron clusters. Strahle and colleagues studied a form of hydrocephalus that affects some premature infants. Babies born prematurely are vulnerable to brain bleeding around the time of birth, which can lead to hydrocephalus and developmental delays. Strahle and colleagues induced a process in young rats that mimicked the process in premature babies. After three days, the tiny channels that carry cerebrospinal fluid from the outer surface of the brain into the middle were fewer and shorter, and circulation to 15 of the 24 neuron clusters was significantly reduced.
“The idea that cerebrospinal fluid can regulate neuronal function and brain development isn’t well explored,” Strahle said. “In the setting of hydrocephalus, it’s common to see cognitive dysfunction that persists even after we successfully drain the excess fluid. The disordered cerebrospinal fluid dynamics to these functional regions of the brain may ultimately affect brain development, and normalizing flow to these areas is a potential approach to reducing developmental problems. It is an exciting field, and we are only at the beginning of understanding the diverse functions of cerebrospinal fluid.”

